Home
Lo studio
Casi Clinici
Corone integrali
Faccette
Impianto
Riabilitazioni complete
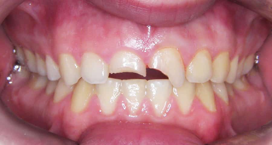
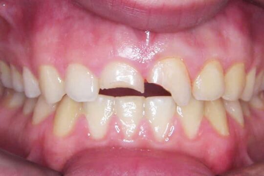
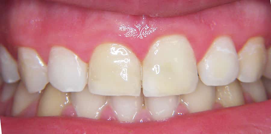
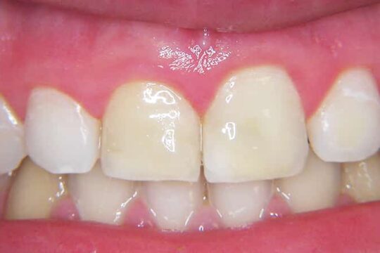
Trauma
Attrezzature
Specialita’ Mediche
Conservativa
Endodonzia
Protesi
Estetica / Sbiancamento
Ortodonzia
Chirurgia orale
Paradontologia
Implantologia
Igiene | Prevenzione
Odontoiatria infantile
Traumatologia
Comunicazioni
Contatti
Hide menu
Hide the navigation
Show the navigation
Trauma
Prima / Dopo
Utilizziamo i cookie per essere sicuri che tu possa avere la migliore esperienza sul nostro sito. Se continui ad utilizzare questo sito noi assumiamo che tu ne sia felice.
Ok
Leggi tutto